黄金烤瓷牙,是由含金88.7%的黄金制作金属内冠的烤瓷牙。黄金烤瓷牙是贵金属烤瓷牙的代表之作,是目前最受欢迎的烤瓷牙之一。 ...
200人阅读
8人评论
2016-04-05 14:55
228人阅读
8人评论
2016-04-05 14:57
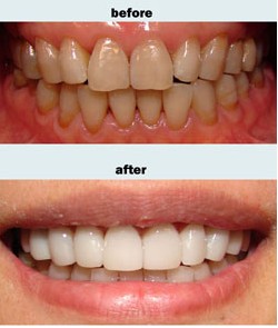
水晶全瓷牙,全称为水晶lava全瓷牙,其骨架由二氧化锆构成,內冠摒弃了金属成分,修复后的牙齿,无论是从形态还是功能,都更接近自然牙齿,色泽比自然牙齿更生一筹。 ...
155人阅读
8人评论
2016-04-05 14:59
全瓷牙即是假牙中完全不含有金属层,完全由陶瓷切削烧制而成,因为少了不美观的金属层,全瓷牙是当今最完美自然的假牙,它可以达到与您自身的自然牙一样的透明度和美观。 ...
165人阅读
8人评论
2016-04-05 15:00