武汉中盛整形医院
http://47.105.42.25/hospital/28
服务咨询热线
010-53552177
肉毒素除皱纹效果好吗
时光无情,曾经青春的美少女现在也渐渐有了斑斑老态,面部的皱纹就是最明显的记号。为了抹去皱纹,维护青春,很多求美者都希望通过肉毒素除皱来改善,肉毒素除皱手术使用微量的生物制剂作面部多点皮下注射,短时间内精确消除面部密集...
181人阅读 8人评论 2016-01-28 14:13
光子嫩肤去红血丝好吗?
脸上有红血丝是一件非常让人烦恼的事情,如何才能得到洁白靓丽的皮肤呢?很多人为此想了很多方法,但是真正有效果的并不是很多,所以当面部出现红血丝,很多人想选择光子嫩肤去红血色,那么光子嫩肤去红血丝好吗? 光子嫩肤去除红血丝好...
291人阅读 8人评论 2016-01-28 14:15
哪些人不适合做光子嫩肤?
哪些人不适合做光子嫩肤?光子嫩肤是一种先进的高科技美容项目,采用一特定的宽光谱彩光,直接照射于皮肤表面,它可以穿透至皮肤深层,选择性作用于皮下色素或血管,分解色斑,闭合异常的红血丝,解除肌肤上的各种瑕疵,同时光子还能刺激...
234人阅读 8人评论 2016-01-28 14:16
肉毒素除皱术效果如何
皱纹有分动态皱纹和静态皱纹,肉毒素除皱主要是针对于动态纹,所以你的皱纹属于动态纹,都可以选择肉毒素除皱。注射肉毒素除皱的效果的保持时间根据个人情况会有些不同,一般能保持1年左右。肉 毒素注射除皱一般额头纹、鱼尾纹、眉...
239人阅读 8人评论 2016-01-28 14:17
肉毒素除皱术后效果怎么样?
皱纹是我们美丽的杀手,也是我们幸福生活的一个破坏者,所以祛除皱纹我们应及早。现在肉毒素除皱方法被很多爱美人士所选择,专家介绍说,非手术整形,就是利用高科技的医疗技术,不需开刀,短时间就能变美变年轻的特性,取代过去的整...
211人阅读 8人评论 2016-01-28 14:19
光子嫩肤治疗过程有哪些?
随着医学技术的迅猛发展,光子嫩肤这一美容新技术也渐渐变的普及。然而很多爱美女士仍对光子嫩肤了解甚少,有很多女性由于自己的皮肤不够细腻,而且毛孔比较粗大,所以为了尽快的能改善,提高自己皮肤的质量,众多追求美的女性,愿意尽早...
226人阅读 8人评论 2016-01-28 14:18
光子嫩肤治疗后护理怎么做?
光子嫩肤实质上是一种激光美容技术,属于医学美容范畴。正规的光子嫩肤治疗,专业医生要根据每个人的皮肤性质、面部的不同部位设置光子的能量和治疗参数,当自己的皮肤出现了让自己不满意的一些因素,愿意尽快地通过光子嫩肤改善,那么光...
258人阅读 8人评论 2016-01-28 14:19
肉毒素注射除皱好吗
现在很多人都在谈论肉毒素这种物质,乍一听肉毒素是比较可怕的物质,但是肉毒素却是我们的朋友,能够帮助我们去除皱纹,肉毒杆菌除皱具有损伤小、无创伤、见效快、价格便宜、不影响工作等特点。和传统的化学剥皮、拉皮、胶原注射、脂...
光子嫩肤美容的优势有哪些?
拥有细腻的肌肤是每个爱美者的最爱,但是随着生活跟工作的压力都会在很大影响皮肤的好坏,现在光子嫩肤就很受欢迎,面部如果出现了瑕疵以后,不但影响到面部形象,同时也会让自己很不自信,因此就想尽快通过光子嫩肤美容改善,那么光子嫩...
195人阅读 8人评论 2016-01-28 14:21
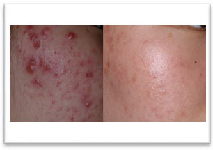
红蓝光祛痘要注意什么事项?
红蓝光祛痘要注意什么事项?红蓝光祛痘是根据蓝光作用于皮肤表层,杀灭痤疮丙酸杆菌而起到抗菌消炎的作用,且其还可有效抑制皮脂腺油脂的分泌,防止青春痘的复发;而红光则可穿过皮肤表层组织,作用于瘢痕组织,促使细胞分泌产生胶原蛋白...
143人阅读 8人评论 2016-01-28 14:23
扫一扫,加我微信
13260092855
工作时间:7*24小时不休
河南驻容网络科技有限公司
驻容网络版权所有,保留一切权利 © 2013-2026
京ICP备15002463号-1