武汉中盛整形医院
http://47.105.42.25/hospital/28
服务咨询热线
010-53552177
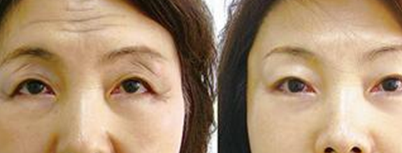
选择电波拉皮可以去除面部皱纹吗
许多女性面部会受到皱纹的影响,选择合适的方式可以在短时间内看到理想的去除效果,专家介绍,选择电波拉皮的方式可以有效地去除面部皱纹,这种方式主要是作用在肌肤皱纹较多较深的部位,通过一到两个疗程就可以看到皱纹淡化的明显效...
212人阅读 8人评论 2016-02-15 14:20
自体脂肪隆胸有哪些禁忌
平平的胸部,这是很多女性不愿接受的,因为胸部饱满曲线,在出现乳沟,才能显得自己更自信,而且随着整形技术的不断提高,更多的人会选择隆胸手术来改变自己不美观的胸型, 自体脂肪隆胸是现在众多的隆胸整形手术中比较受欢迎的一种...
249人阅读 8人评论 2016-02-15 14:22
假体隆胸哪种材料好?
假体隆胸术使通过手术方法将假体植入乳腺深面或胸大肌深面,通过将乳房抬起达到隆胸的目的。由于植入部位较深,触摸时不会触及假体的感觉,隆胸后逼真自然。假体隆胸是目前非常流行的隆胸方法,受到了求美者的青睐,需要将假体隆胸植...
262人阅读 8人评论 2016-02-15 14:22
假体隆胸有什么优势?
假体隆胸术使通过手术方法将假体植入乳腺深面或胸大肌深面,通过将乳房抬起达到隆胸的目的。由于植入部位较深,触摸时不会触及假体的感觉,隆胸后逼真自然。男友嫌弃、工作不顺心,连自己都变得越来越重自卑了。为了重获自信和美丽,...
280人阅读 8人评论 2016-02-15 14:24
假体隆胸手术后禁忌症有哪些?
越来越多的女性关注自己胸部,因为女性如果胸部过小,就不能体现出自己女人的味道,也不能受到异性的关注,于是很多胸部比较扁平,严重影响到女人味道,目前最为有效的快速丰胸,是假体隆胸手术,假体隆胸是目前很多女性,选择比较多...
275人阅读 8人评论 2016-02-15 14:23
最好的假体隆胸方式是什么?
越来越多的女性关注自己胸部,因为女性如果胸部过小,就不能体现出自己女人的味道,也不能受到异性的关注,所以很多追求完美的女性,为了能让自己胸部更饱满性感,想尽早的选择假体隆胸改善,那么最好的假体隆胸方式是什么? 目...
254人阅读 8人评论 2016-02-15 14:25
韩式假体隆胸整形痛吗?
假体丰胸是通过手术将适合患者胸廓类型的假体材料放置在胸部的方法,切口有多种,可根据患者的具体基础条件来选择。韩式假体隆胸是目前非常流行的隆胸方法,能够真正实现平胸女性的心愿。那么韩式假体隆胸整形痛吗?这是大多数女生都...
224人阅读 8人评论 2016-02-15 14:25
做电波拉皮除皱效果怎么样
现代社会环境污染差让我们的面部承受比较大的压力,因此不仅上了年纪的人有皱纹,很多年轻人也过早的出现了皱纹,专家表示,电波拉皮属于比较常见的激光除皱,具有无创微痛、简单操作、见效快、安全等优势,它是通过电磁波刺激皮肤深...
229人阅读 8人评论 2016-02-15 14:23
隆胸要多长时间恢复?
胸部是每一个女人的自信所在,所以当很多女人胸部比较低,就会在生活当中,让自己特别不自信,有很多乳房比较小的女性,认为自己的乳房特别小,严重影响到自己的女人味道,所以很多乳房比较小的女性,为了能尽快的改善自己的小乳房,...
171人阅读 8人评论 2016-02-15 14:26
乳头乳晕整形术的注意事项是什么
胸部是每一个女人的自信所在,所以当很多女人胸部比较低,就会在生活当中,让自己特别不自信,在现实生活当中有很多女性的乳头比较大,乳晕也比较大,所以这就严重影响到了乳房的形象,所以很多追求美的女性,就愿意通过乳头乳晕整形...
231人阅读 8人评论 2016-02-15 14:28
扫一扫,加我微信
13260092855
工作时间:7*24小时不休
河南驻容网络科技有限公司
驻容网络版权所有,保留一切权利 © 2013-2025
京ICP备15002463号-1