驻容网-及时整形优惠信息-权威整形资讯平台
在线咨询
留言预约
QQ咨询

当前位置:返回首页> 整形资讯 > 做种植牙需要多少钱

做种植牙需要多少钱 发布日期:2016-04-08 16:06 点击次数:26100 评论: 0

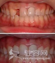
  牙齿缺失后,最好的补救方法就是选择种植牙。随着时代的发展,种植牙技术也越来越完善,很多的朋友都纷纷通过种植牙弥补自己的牙齿缺陷。在种植牙手术之前,了解种植牙手术的费用是很多朋友都会做的,那么,种植牙要多少钱?

 

  现在的口腔问题人们越来越重视,尤其是缺失牙齿,不仅影响到人们的日常生活,工作等,还会对美丽健康都带来了影响,所以现在很多人都会去选择做种植牙来进行牙齿的修复,种植牙是现在很多人进行牙齿修复时的首选技术,但是对于求美者来说,不仅对种植牙的效果非常关注,而且对种植牙的价格也非常关心。

  影响种牙多少钱因素有以下4点:

  1、医生有关:

  不论是研究还是到最后的运用,专业种植牙技术都需要由一个极富经验的种植牙专家带领一支种植牙团队完成,种植牙专家的实力越强,种植牙手术的成功率和种植牙效果会越好,但是这也注定了种植牙价格的高昂。

  2、设备有关:

  专业种植牙过程中除了材料之外还需要X线检查,临床治疗、技工设备等等成本也是相当高的,致使种植牙价格一直过高的另一个原因。

  3、材料有关:

  由于种植牙工艺手法的材料成本相当高,这是种植牙价格无法降低的主要原因。

  4、系统有关:

  专业种植牙手术一般都是引进国外先进的种植牙系统,种植牙系统引进时,同时也需要配套引进种植牙设备和技术,这都是极为需要花费成本的。

  医院专家指出,目前种植牙的价格从几千到几万不等,而影响种植牙价格的因素也是很多,种植牙的价格不是由单一的因素决定的,需要结合好几个因素共同决定。国内地区经济的差别,各地区费用会有所差异,材料的不同如国产材料和进口材料,可根据成本计算收费。不同医院价格也会不同,还有患者牙齿状况以及状况推荐的不同,都是影响种植牙价格的因素。

  以上就是驻容网专家介绍影响种植牙价格的因素,如果您想要了解明确的数字,你可以到正规专业的医院进行检查,根据你自身的情况咨询专业牙科医生,并综合你自身的要求,才能够定论。

转载请注明: 驻容网-及时整形优惠信息-权威整形资讯平台 » 做种植牙需要多少钱

评论
登录

扫一扫,加我微信

扫一扫,加我微信

全国服务热线:

13260092855

工作时间:7*24小时不休

河南驻容网络科技有限公司

驻容网络版权所有,保留一切权利 © 2013-2025

京ICP备15002463号-1