驻容网-及时整形优惠信息-权威整形资讯平台
在线咨询
留言预约
QQ咨询

当前位置:返回首页> 整形资讯 > 种植牙一颗多少钱

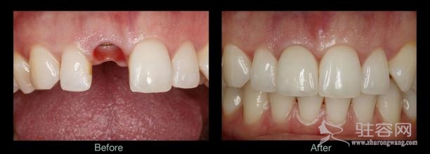
种植牙一颗多少钱 发布日期:2016-04-13 14:21 点击次数:29800 评论: 0

  生活的一些意外可能会让我们不幸地失去了一颗牙齿,缺牙不仅会影响形象,若长期未能修复,可能还会引发一系列连锁反应。对此,医院专家提醒大家,不管何种原因引起的牙齿缺失,一定要及时到医院进行修复,一般建议在缺牙后三个月内进行修复效果较佳。治疗价格永远是人们关注的问题,那么种植牙一颗多少钱呢?

 

  医院做种植牙价格需要提醒的是,种植牙所需的材料和设备不下几十种,种植一颗牙费用就是不定的了,医院与医院之间的服务水平相差大,需要一支技术精良的种植牙队伍,因此一定要选择专业度高的医疗机构进行种植牙,不要只考虑种植牙的价格质量也是要考虑的。

  种植牙的优势主要体现如下:

  1、解决患者的顾虑,增强个人的自信,忘掉假牙的存在,这是种植牙的优点。

  2、易于护理,体积小,不露金属,更美观,更利于口腔卫生。

  3、对周围的健康牙齿基本无损伤,这也是种植牙的优点。

  种植牙大概多少钱取决于种植牙选用的烤瓷牙的种类。种类是影响烤瓷牙冠价格的因素,也是影响烤瓷牙价格的最主要的因素,我们平时见过的烤瓷牙的种类可以有多种多样,比如,根据固定方式就有固定的,以及移动的两种,可以分为金属的,和非金属的,烤瓷牙冠种类不同,价格各异。

  种植牙大概多少钱取决于种植牙医院的选择。在北京这个地方来说,不同的医院收费的标准是不一样的,好的医院里面的医生技术好,进行种植牙的质量高,自然价格也是不一样的。有些小诊所虽然说也可以进行种植牙而且价格较低,但是这都是没有保障的。

  种植牙大概多少钱取决于种植牙系统的选择。种植牙系统的选择是影响种植牙价格的关键因素,品牌不同,他们的价格就有明显的差异,因此选择不同的种植牙系统价格自然也就不一样了。

  种植牙大概多少钱取决于种植牙数量的多少:种植牙数量的多少是影响种植牙价格的主要因素,种植牙的价格是以颗为计算的,有的患者需要种的牙齿较多自然更加差距就更大了。

  驻容网专家提醒您:要美丽,更要保障健康,手术前要多咨询比较,选择正规权威的专业医疗机构。关键要选择合适的主理医生,谨慎就医,避免风险,消除不良顾虑。

转载请注明: 驻容网-及时整形优惠信息-权威整形资讯平台 » 种植牙一颗多少钱

评论
登录

扫一扫,加我微信

扫一扫,加我微信

全国服务热线:

13260092855

工作时间:7*24小时不休

河南驻容网络科技有限公司

驻容网络版权所有,保留一切权利 © 2013-2025

京ICP备15002463号-1